Windermere Dental Group Welcomes All Hablamos Español
Our dentist, Dr. Susana Moncada, was born and raised in Venezuela. Her native fluency in Spanish allows her to provide optimal dental care to Florida's diverse population. Generations of families with different dental goals and preferred languages feel at home at Windermere Dental Group in Orlando, FL. Call or write to our team to request the high level of care you deserve.
407-294-1132
Elite Dentistry
For All Your Loved Ones
After working hard to become an honors student in her home country, Dr. Moncada chose to study dentistry here in the states. She was again named an honors student at Florida's Nova Southeastern University College of Dental Medicine and graduated in 2002.
Dr. Moncada's well-rounded education and over two decades of experience allow her to provide comprehensive, quality care for patients of all ages. She is known for being an outstanding listener who empowers patients to make their own informed decisions.
The team she leads at Windermere Dental Group has a reputation for being friendly, skilled, and patient-focused. Regardless of your family's needs, you can trust us to provide more beautiful and healthy smiles with the power of general, restorative, and cosmetic dentistry, as well as orthodontics.
Get to Know Our Dentist Dr. Susana Moncada
Dr. Susana Moncada is the primary dentist at Windermere Dental Group. Her passion for helping her patients achieve and maintain excellent oral health is second to none. Dr. Moncada has advanced training in the full scope of modern dental techniques, including general dentistry, orthodontics, and cosmetic dentistry.
Dr. Moncada focuses on keeping her patients calm and relaxed while providing superior care. It is difficult to find a dentist in Orlando, FL, who is more invested in her patients than Dr. Moncada. She has even invested in advanced dental technology that allows her to complete many procedures in a single day.

"I've been going to this dentist for almost 18 years."
Great customer service, the staff is nice and make you feel comfortable.
View on GoogleI’ve been going to this dentist for almost 18 years. Always been satisfied!
View on GoogleSchedule Your Dental Appointment Today
Our dentistry practice provides patients with convenient comprehensive care. We value your time and work hard to provide you and your family with quality dental work in a timely manner. When developing a treatment plan, our dentist will explain everything, so you feel comfortable before making a final decision. From general cleanings to complete smile makeovers, we can give you a beautifully healthy smile.
Experts recommend visiting a dentist at least once every six months to maintain optimal oral health. If it has been a while since your last appointment with a dentist, we invite you to schedule an appointment at Windermere Dental Group in Orlando, FL, today!
You can schedule an appointment by contacting us online or calling:

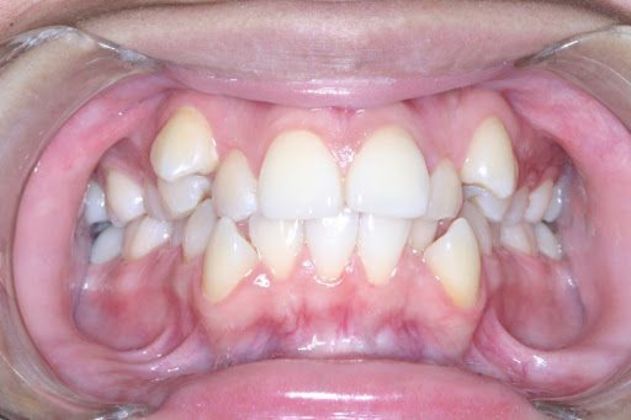
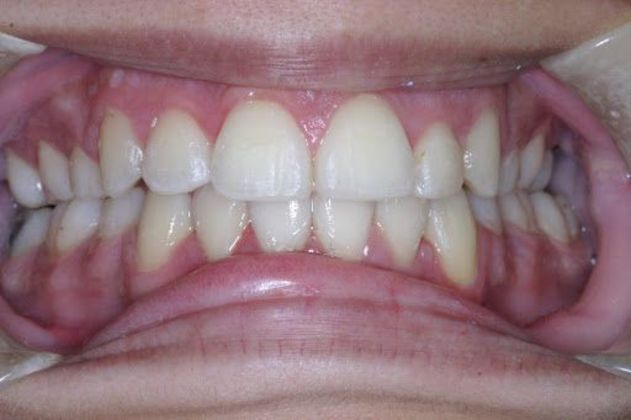
We Create Incredible Transformations See Our Real Results
Dr. Moncada achieves her stunning enhancements by developing customized treatment plans. She creates precise mockups of your projected results so you know exactly what to expect. See for yourself the incredible results her orthodontic treatment achieved for this Orlando patient.
"They made me feel at home"
Awesome services. Friendly staff. Very clean facility! State of the art equipment.
View on GoogleAmazing service, very friendly and helpful with my insurance. They made me feel at home, definitely my dentist of preference.
View on GoogleExplore Our Featured Procedures
Dental Crowns
A tooth that has been compromised due to trauma or decay can cause pain, make chewing and speaking difficult, and make you feel self-conscious. Whether your tooth has suffered trauma or undergone a procedure such as a root canal, a crown can protect it from further damage and prevent the need for extraction. Made of durable modern materials that are engineered to mimic the light-reflecting properties of your natural teeth, a dental crown can last a decade or longer. Our Orlando, FL, dentistry practice uses the CEREC system to provide custom crowns in a single appointment.
Dental Implants
Dental implants replace lost tooth roots. They keep bridges, crowns, and dentures firmly in place, allowing you to chew and speak properly. Meanwhile, the absence of tooth roots causes the bone tissue in your jawbone to deteriorate. Left untreated, jawbone atrophy will begin to cause the surrounding teeth to begin to shift, leading to a sunken and aged facial appearance. Implants are the only treatment in modern dentistry proven to stop jawbone atrophy.
Veneers
Even if you are in excellent oral health, your smile can appear unhealthy if it is affected by worn, chipped, or slightly crooked teeth. Veneers are thin porcelain shells that are custom-made to conceal the imperfections that can have a negative impact on the look of your smile. Made from the same medical-grade porcelain as crowns, veneers are color-matched to your surrounding teeth for a seamless appearance. For patients looking for a minimally invasive option, we also offer no-prep Lumineers®.
Root Canal
When decay reaches the inner tissue of a tooth, the infection can cause a number of painful symptoms. If ignored long enough, you can lose the infected tooth. A root canal removes the inner tissue of the infected tooth, relieving pain, eliminating the infection, and preserving the exterior tooth structure. Despite what you may have heard, a root canal is virtually painless, and once completed, it eliminates the need for extraction. If you are experiencing a toothache, sudden sensitivity to heat and cold, or a sudden bad taste in your mouth, you may need a root canal.
Orthodontic Treatment
Our orthodontic services can correct alignment issues such as crowded or crooked teeth, jaw misalignment, overbites, or underbites. For patients interested in orthodontics, Windermere Dental Group in Orlando, FL, can provide both traditional braces and clear aligner systems such as Invisalign® and ClearCorrect™. If you are not sure which option is right for you, our dentist can evaluate your needs and present you with options during a free consultation. Our goal is to help you make the most informed choice about your orthodontic care.
Our Complete List of Dental Services

- General dentistry
- Orthodontics
- Periodontics
- Pediatrics
- Root canals
- Wisdom tooth extraction
- Fluoride treatment
- Restorative dentistry
- Dental bridges
- Dentures
- Dental implants
- Dental fillings
- Onlays
- Full mouth reconstruction
- Cosmetic dentistry
- Invisalign and ClearCorrect
- Smile makeover
- Veneers
- Teeth whitening
- Dental bonding
- Dental emergencies
"So happy to have found Dr. Moncada."
They were able to see me the same day I called and do a root canal that I desperately needed. Very friendly staff preformed the procedure very fast and most importantly painlessly. I can finally enjoy my food again.
View on GoogleI am so happy to have found Dr. Moncada and her excellent team. As a person who feared going to the dentist I feel I am in good hands and am now able to feel safe in their care. Thank you!
View on GoogleWe participate with most PPO dental insurance
Delta Dental
Metlife
Cigna
Guardian
Humana
Principal
Aetna
And many more.
*(Codes: D0150, D0140, D0274, D0330, D0220). ONLY FOR PATIENTS WITHOUT INSURANCE. THE PATIENT AND ANY OTHER PERSON RESPONSIBLE FOR PAYMENT HAS A RIGHT TO REFUSE TO PAY, CANCEL PAYMENT, OR BE REIMBURSED FOR PAYMENT FOR ANY OTHER SERVICE, EXAMINATION, OR TREATMENT THAT IS PERFORMED AS A RESULT OF AND WITHIN 72 HOURS OF RESPONDING TO THE ADVERTISEMENT FOR THE FREE, DISCOUNTED FEE, OR REDUCED FEE SERVICE, EXAMINATION, OR TREATMENT















